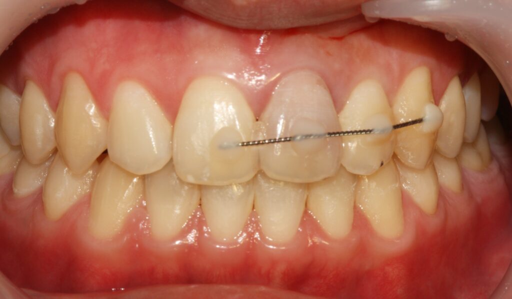
전문의 칼럼투명교정, 어떤 원리로 치아를 움직일까? 전문의 칼럼 / 예스치과의원 투명교정, 어떤 원리로 치아를 움직일까? 치아 교정을 고민하지만 금속 장치(철길)가 부담스러워 망설이고 계신가요? 심미성을 중요하게 생각하는 분들에게 각광받는 투명교정의 정의와 […]